INDICE

Traumatismo Craneoencefálico (TCE)

Administrador
12 Mayo 2020
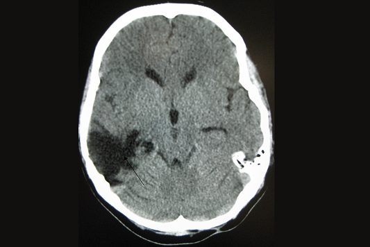
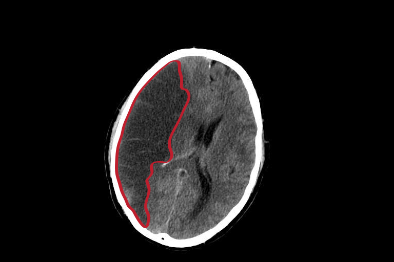
El traumatismo cranoencefálico (TCE) es la afectación del cerebro como consecuencia de la acción de una fuerza externa.

Ictus

Administrador
6 Mayo 2020
Un ictus, también llamado accidente cerebrovascular (ACV), infarto cerebral, trombosis o embolia, es una enfermedad cerebrovascular que produce un déficit del flujo sanguíneo en el cerebro.

Una guía rápida para entender todo sobre el TEA

Administrador
4 Mayo 2020
Los trastornos del espectro autista, conocido como TEA por sus iniciales, son varios y lo que quiere decir es que existe un amplio grado de variación en la forma en la que el autismo afecta a las ...

Test de los 7 minutos

Administrador
29 Abril 2020
El test de los 7 minutos es una de las pruebas más utilizadas para diferenciar el envejecimiento normal del que está producido por la demencia y más en concreto por el Alzheimer, gracias a que ...

Span visoespacial y span complex

Administrador
27 Abril 2020
Cuando hablamos de span en el ámbito de la Psicología en muchos casos hablamos de memoria. Concretamente el span hace referencia la capacidad o amplitud de la memoria.

Disartría

Administrador
5 Marzo 2020
Supone una dificultad en la articulación del habla además de todas las consecuencias asociadas a este tipo de disfunciones
Buscador
Ajustes de privacidad
Decide qué cookies quieres permitir.
Puedes cambiar estos ajustes en cualquier momento. Sin embargo, esto puede hacer que algunas funciones dejen de estar disponibles.
Este sitio web no podrá:
    Este sitio web podrá: